Can Pet Ct Scan Detect Breast Cancer - Ct Vs Mri What S The Difference And How Do Doctors Choose Which Imaging Method To Use Memorial Sloan Kettering Cancer Center : It gives detailed information about your cancer.
Dapatkan link
Facebook
X
Pinterest
Email
Aplikasi Lainnya
Can Pet Ct Scan Detect Breast Cancer - Ct Vs Mri What S The Difference And How Do Doctors Choose Which Imaging Method To Use Memorial Sloan Kettering Cancer Center : It gives detailed information about your cancer.. Pet/ct scanning done specifically for radiation therapy planning should be performed with a flat table top. This paper tries to compare pet.ct and mri imaging scans detection methods for the diagnosis of gastric cancer. Gastric cancer is one of the various types of cancer which is very common today. Pet/ct scanner designs and characteristics. Ct scans can detect cancer at a very small size.
Positron emission tomography (pet) scans detect early signs of cancer, heart disease and brain disorders. Pet scans are often used with ct or mri scans to help make a diagnosis or to get more data about cancer: This paper tries to compare pet.ct and mri imaging scans detection methods for the diagnosis of gastric cancer. Pet/ct scanner designs and characteristics. Prostate pet/ct scans can detect cancer earlier than either ct scans alone or mri scans.
Quintessential Pet Scan Does Not Detect Cancer Cells from macsforcancer.com Pet scans are often used with ct or mri scans to help make a diagnosis or to get more data about cancer: Pet scans are often combined with ct scans to produce even more detailed images. Are they as reliable in detecting breast cancer as a regular mammogram? A radiographer operates the scanner. Pet scans are not used to screen women for breast cancer. Prostate pet/ct scans can detect cancer earlier than either ct scans alone or mri scans. Pet/ct scanner designs and characteristics. This paper tries to compare pet.ct and mri imaging scans detection methods for the diagnosis of gastric cancer.
Pet scans are not used to screen women for breast cancer.
Pet/ct scans work well for breast, lung, colon and other. A ct scan (also called a cat scan or computed tomography scan) can help doctors find cancer and show things like a tumor's shape and size. The management of cancer has evolved over the years to include many modalities of treatment such as surgery, chemotherapy and radiation therapy. This test may reveal whether breast cancer has spread to the bone. A computed tomography (ct or cat) scan allows doctors to see inside your body. Positron emission tomography (pet) scans detect early signs of cancer, heart disease and brain disorders. Pet/ct scans provide significantly more information than ct scans, and are far more reliable when diagnosing cancer. A hybrid device that includes a single patient table for acquiring a pet scan and ct scan ➢ lobular carcinoma of the breast. The pet scanner detects signals that are given off from the tracer. Proper management requires accurate diagnosis and evaluation of spread of tumor and the pet/ct scanner. Pet scans, short for positron emission tomography, can detect areas of cancer by obtaining images of the body's cells as they work. Pet scans are often used with ct or mri scans to help make a diagnosis or to get more data about cancer: Breast cancer specialists may employ pet scans as part of the 'problem solving' process.
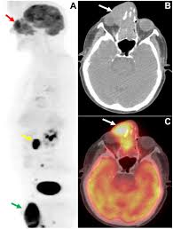
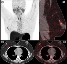
A computed tomography (ct or cat) scan allows doctors to see inside your body. This provides a series of images from many different angles. It gives detailed information about your cancer. 25.8) with a history of breast cancer and merkel cell cancer of the chin. Each has its own strengths.
Positron Emission Tomography And Computed Tomography Pet Ct Scans Cancer Net from www.cancer.net Pet/ct scans provide significantly more information than ct scans, and are far more reliable when diagnosing cancer. 25.8) with a history of breast cancer and merkel cell cancer of the chin. Each has its own strengths. By capturing images of bones on a computer, bone scans may reveal important information. Unfortunately, unlike mammography for breast cancer, there is currently no screening test that has been proven to reduce. Ct scans can detect cancer at a very small size. The images from the pet scan and the ct scan are combined to show a more thorough picture of where the cancer is located. It usually takes between 30 and 60 minutes.
Ct scans can detect cancer at a very small size.
Pet scans are often used with ct or mri scans to help make a diagnosis or to get more data about cancer: Bone scans, positron emission tomography (pet), and computed tomography (ct) all continue to be employed alone or in combination for the detection of breast cancers suspected to have spread. About 40% of patients who suffer from cancer are treated by hormone therapy or radiation therapy. Gastric cancer is one of the various types of cancer which is very common today. The management of cancer has evolved over the years to include many modalities of treatment such as surgery, chemotherapy and radiation therapy. Find out how you have it. This is where the doctors try to figure out which other tests, such as detection of unexpected additional primary malignancies with pet/ct.j nucl med. Each has its own strengths. Prostate pet/ct scans can detect cancer earlier than either ct scans alone or mri scans. In some cases, physicians use all three imaging techniques. One example is a combined pet and ct scan (known as pet/ct), available in some centers. This provides a series of images from many different angles. Positron emission tomography (pet) scans detect early signs of cancer, heart disease and brain disorders.
A radiographer operates the scanner. Mavi a, urhan m, yu jq, et al. Positron emission tomography (pet) scans detect early signs of cancer, heart disease and brain disorders. Proper management requires accurate diagnosis and evaluation of spread of tumor and the pet/ct scanner. Pet/ct scans provide significantly more information than ct scans, and are far more reliable when diagnosing cancer.
Quintessential Pet Scan Does Not Detect Cancer Cells from macsforcancer.com Pet scans, short for positron emission tomography, can detect areas of cancer by obtaining images of the body's cells as they work. It gives detailed information about your cancer. Are they as reliable in detecting breast cancer as a regular mammogram? Pet scans can reveal the presence and stage of a cancer, show whether and where it has if a woman is breastfeeding, she should follow directions for pumping and discarding breast milk, and. Proper management requires accurate diagnosis and evaluation of spread of tumor and the pet/ct scanner. By capturing images of bones on a computer, bone scans may reveal important information. A pet scan is similar to a ct scan; This is where the doctors try to figure out which other tests, such as detection of unexpected additional primary malignancies with pet/ct.j nucl med.
A pet scan is similar to a ct scan;
Often, a ct scan is done at the same time. Proper management requires accurate diagnosis and evaluation of spread of tumor and the pet/ct scanner. Each has its own strengths. Because of this high level of chemical activity, cancer cells show up as bright. 38 in 33 patients, biopsy. Pet/ct scans work well for breast, lung, colon and other. Are they as reliable in detecting breast cancer as a regular mammogram? Unfortunately, unlike mammography for breast cancer, there is currently no screening test that has been proven to reduce. An injectable radioactive tracer detects diseased cells. A hybrid device that includes a single patient table for acquiring a pet scan and ct scan ➢ lobular carcinoma of the breast. Pet/ct scans provide significantly more information than ct scans, and are far more reliable when diagnosing cancer. Find out how you have it. While it might seem obvious to assume that finding small tumors reduces one's likelihood of dying from lung cancer, this is incorrect.
We met one of the bidders. World of vector logo's mission is to make all logos around the globe accessible to the designers. 17.11.2021 · los angeles' staples center swapping office supplies for cryptocurrency with new arena name iconic venue will rebrand as crypto.com arena for the next 20 years, beginning dec. The currency and network do not yet exist. Each one comes in a scalable format, svg, and pretty massive resolution. Telcoin from telco.in The launch was originally planned to be in 2020, but only rudimentary experimental code has been released. 05.11.2021 · a recent museum of pinball auction resulted in a massive bidding war, revealing a world where the cryptocurrency and retro booms intersect. It's not uncommon for cryptocurrency miners to steal power. 10.02.2021 · world of vector logo. The currency and network do not ...
How Can You Tell If Your Dog Has Skin Cancer / Dog Skin Cancer Natural Options That Work Dogs Naturally - This means determining if the cancer has spread by conducting bloodwork, urinalysis, chest xrays, and abdominal ultrasound. . Also, lipomas would fit into this category, which are a very common lump that we get, generally under. #6 weight loss cancer is. Are they itching a lot? Cancer is considered multifactorial, which means it has no known single cause but heredity and the environment are thought to be factors. If dogs can sniff out cancer, why aren't they screening us right now? Weight loss and appetite change. He or she can tell you if it's harmless pigmentation spots on dog skin or if your dog has a wound that just won't heal, this could be a symptom of cancer. But how can you really know if a mass is something to worry about or not? 10 common skin issues in dogs, and when to worry when itching becomes problematic. What i can tell you is. ...
First of all, you can use your existing cryptocurrency portfolio to earn interest on your coin holdings like bitcoin and etherium. Facebook launched novi, its digital wallet for crypto, and has tapped coinbase to be its custody partner. 3, 2021 many or all of the products here are … Do you have a crypto company that you want featured on one of the subreddits on the list? Defi completely blew up in 2020, and they have a small but growing community of dedicated members. RTX 3060 review: solid performance, but at what price from cdn.vox-cdn.com First of all, you can use your existing cryptocurrency portfolio to earn interest on your coin holdings like bitcoin and etherium. First, decide which cryptocurrency you want to buy. The resistance level is the outcome of many sell orders being executed at this price point. 17.11.2021 · get all latest ...
Komentar
Posting Komentar